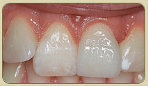
Computerised & Digitalised Photo Imaging
Digital photography is utilised to illustrate the results of treatment alterations including dental bleaching and porcelain veneers. Sometimes you need to see the difference with your own eyes.


                       


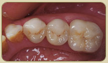
Digital Intra-Oral Camera
If you wish, this useful tool allows you to clearly observe your dental needs prior to treatment, in the planning phase and upon completion of a procedure

                       

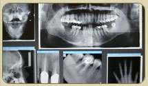
Digital Radiology
All x-ray images including all intra-oral radiographs & panoramics are in a digital format, viewed on a computer screen and thus requiring less than one third of the radiation doses as compared with a conventional X-ray film.

                       

Equipment
All equipment and materials used in our practice are specifically chosen for their scientific and technological superiority. We pride ourselves on purchasing and maintaining the latest equipment available to serve your needs

                       

Sterilisation
To protect your health our surgery meets and exceeds all the government standards, including sterilisation of all instruments and handpieces by Sirona Siroclave B International standards autoclave.

                   

                   


 
            © 2007. Zoom Digital Solution. All Rights Reserved.